Inicio - Noticias de Empresa - Versatilidad funcional y estética natural
Noticias de Empresa
Versatilidad funcional y estética natural
Contenido
ToggleDientes VITA MFT®: cómo aprovechar las ventajas que brindan estos multitalentos en el montaje de prótesis completas
Durante la restauración de la dentadura de un paciente desdentado mediante una prótesis, deben considerarse aspectos funcionales y estéticos. La finalidad principal de una prótesis completa es el restablecimiento de las funciones fisiológicas perdidas, de modo que, en el caso ideal, sea análoga a la dentadura natural original.
Desde el punto de vista estético debe perseguirse un aspecto de la restauración lo más auténtico posible y que tenga en cuenta también las expectativas del paciente (Figura 1). Así pues, el reto reside en combinar un grado máximo de funcionalidad con los requisitos estéticos del paciente; esto es, confeccionar una prótesis que se adapte a su edad, se corresponda con sus preferencias estéticas y le otorgue una apariencia vital.
Toda restauración debe tener en cuenta, por un lado, los movimientos funcionales y parafuncionales del maxilar inferior, es decir, todos los movimientos de excursión responsables de los patrones funcionales específicos en las superficies masticatorias de los antagonistas. Por otro lado, deben considerarse todos aquellos factores que determinan la orientación de las fosas así como la altura, la inclinación y la posición de las cúspides: la trayectoria condílea, la oclusión guiada por los dientes anteriores, la altura y la inclinación de las cúspides, las curvas de compensación, el plano de orientación, el movimiento de Bennett, el ángulo de Bennett, la distancia desde los dientes al eje de rotación de los cóndilos y al plano sagital medio, así como la distancia intercondílea.
«La finalidad principal de una prótesis completa es el restablecimiento de las funciones fisiológicas perdidas, de modo que, en el caso ideal, sea análoga a la dentadura natural original»
En este contexto, la elección del diente artificial reviste una importancia determinante, puesto que debe satisfacer todos estos requisitos oclusales que se le plantean (Figura 2). Además, debe presentar una morfología lo más anatómica posible y corresponderse con las expectativas estéticas del paciente en cuanto a forma, color y textura superficial, a fin de no llamar la atención por un aspecto artificial en la boca (Figura 3).
La elección de los dientes anteriores
Para escoger el diente anterior adecuado es preciso disponer de información detallada sobre las proporciones faciales del paciente.
Durante el desarrollo de los dientes anteriores VITA MFT, el fabricante VITA Zahnfabrik (Bad Säckingen, Alemania) adoptó como referencia cuatro formas del rostro típicas, sobre cuya base diseñó estas cuatro formas dentales: cuadrada (Figura 4), triangular (Figura 5), ovalada (Figura 6) y rectangular (Figura 7). Desde el punto de vista estético, la armonía entre la forma de los dientes anteriores y la forma del rostro del paciente es crucial, dado que, debido a su posición prominente, determinan la apariencia global.
También debe tenerse en cuenta que las formas dentales de las mujeres presentan con mayor frecuencia líneas curvas y un borde incisal más arqueado (Figura 8), mientras que en los hombres predomina la forma rectangular con un borde incisal más recto.
Otras diferencias específicas determinadas por el sexo se observan a menudo en los incisivos laterales: en las mujeres suelen ser considerablemente más pequeños que los incisivos centrales, enfatizando así el aspecto femenino de la dentadura, mientras que un tamaño aproximadamente igual de los incisivos laterales y centrales otorga a la dentadura una apariencia más bien masculina. Asimismo, en el diente típicamente femenino, el perímetro máximo se encuentra con frecuencia en el tercio incisal, mientras que en el masculino suele corresponder a los tercios central o cervical.





MFT triangulares.




del incisivo central debido a la edad, típico de una dentadura «vieja»


También se puede establecer una relación entre la edad y la forma del diente: así, una pequeña diferencia de longitud entre el incisivo central y el lateral denota un desgaste del incisivo central típico de una dentadura «vieja» (Figura 9). En cambio, esta diferencia es mucho más acentuada en una dentadura joven.
Con el diente multifuncional VITA MFT, los protésicos disponen de un diente que, en virtud de sus propiedades morfológicas, satisface todos los requisitos y les permite restablecer eficazmente la funcionalidad logrando al mismo tiempo una estética muy natural.
Características del diente multifuncional VITA MFT®
Los dientes anteriores
Las formas de los dientes anteriores presentan una relación armoniosa entre anchura y longitud, que está siempre próxima a la proporción áurea. Esto les confiere una morfología sumamente natural, sin resultar demasiado cuadrados ni triangulares. Desde el punto de vista estético, también la relación entre anchura y longitud de los dientes anteriores y los caninos debería situarse en torno a la proporción áurea (Figura 10).
Los cuellos dentales de los dientes anteriores VITA MFT son algo más anchos, haciendo posible durante el encerado una configuración de las papilas natural y adaptada a la edad (Figura 11). Esta amplitud permite incluir la necesaria recesión de las papilas en pacientes de edad avanzada, sin que aparezcan antiestéticos espacios negros.
«La elección del diente artificial reviste una importancia determinante, puesto que debe satisfacer todos estos requisitos oclusales que se le plantean»
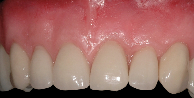
La cara labial de los dientes anteriores tiene una forma convexa natural, ofreciendo así un apoyo para los labios y favoreciendo la armonía perfecta entre los dientes y el rostro. La restauración dental presenta un aspecto especialmente natural gracias a los espacios en forma de V entre los bordes incisales que se crean durante el montaje en las zonas de contacto entre los dientes anteriores (Figura 12).
La textura superficial de los dientes VITA MFT posee una estética muy natural, y las periquimatas perfectamente definidas y distribuidas en la cara labial, así como los bordes incisales blanquecinos con el grado de translucidez preciso refuerzan eficazmente esta impresión (Figura 13).
La configuración natural de las superficies linguales de los dientes anteriores es importante para el restablecimiento de la fonética, para una buena orientación de la lengua y para un contacto agradable con la lengua.
El juego cromático rico en matices y el comportamiento natural de reflexión de la luz de los dientes VITA MFT se consiguen gracias a la combinación equilibrada de opalescencia, luminiscencia y translucidez de las distintas capas dentales (Figura 14).

transiciones en forma de V de aspecto especialmente natural entre los bordes incisales.



Los dientes posteriores
Uno de los criterios prioritarios durante el diseño de los dientes posteriores VITA MFT era una buena integración estética, con independencia del concepto de oclusión escogido. Los cuellos dentales son más anchos y presentan un abombamiento natural por vestibular (Figura 15).
Las superficies masticatorias son más grandes e incorporan un relieve sumamente natural (Figura 16). Las superficies oclusales preabrasionadas de los dientes posteriores inferiores minimizan las fuerzas de desplazamiento horizontales, especialmente nocivas para la conservación de implantes, y, de este modo, aseguran la orientación estática ideal de la prótesis.
El diseño de las superficies oclusales de la línea VITA MFT se basa en el innovador principio «Easy-Centric»: las superficies están diseñadas de tal forma que durante el montaje se establece casi automáticamente una céntrica perfecta (Figura 17).
La cavidad basal de los dientes anteriores y posteriores reduce la abrasión oclusal al tiempo que amplía la superficie de contacto entre el diente y la base de la prótesis, mejorando así la unión entre ambos materiales durante la confección de la prótesis, esto es, la realización en resina.

dientes posteriores son más grandes y poseen
relieves masticatorios pronunciados naturales

Propiedades del material
El material de resina utilizado para la fabricación de los dientes VITA MFT incorpora una elevada proporción de metacrilatos altamente reticulados (perlas de PMMA), los cuales otorgan al material sus excelentes propiedades de estabilidad mecánica y durabilidad. La estructura homogénea del material y la ausencia de microporosidades en la resina inhibe la formación de placa. La extraordinaria resistencia a la abrasión es muy similar a la de los materiales compuestos con microrrelleno.
Además de permitir la elección de la forma y el color dentales más adecuados, los dientes VITA MFT pueden caracterizarse cromáticamente con el composite de recubrimiento VITA VM LC, y adaptarse a la edad del paciente gracias a una textura superficial modificada.
No obstante, probablemente el aspecto más importante para la caracterización de prótesis es el montaje de los dientes, teniendo en cuenta irregularidades y asimetrías individuales en la zona de los dientes anteriores. Igualmente, importante es el modelado de la base de la prótesis, es decir, de la porción gingival, que debe satisfacer, sobre todo, requisitos estéticos además de funcionales para imitar el modelo natural conforme a los criterios más exigentes.
Casos prácticos resueltos con dientes VITA MFT
Prótesis híbrida implantosoportada
Tras el montaje de los dientes VITA MFT, durante la prueba en boca del paciente se comprueba la correcta posición de los dientes desde el punto de vista tanto funcional como estético y se corrige, si fuera preciso (Figura 18). El montaje de los dientes se fija en una llave de silicona. Mediante la llave, tras la eliminación de la cera, se puede comprobar si se dispone del espacio suficiente para la estructura (Figura 19).
En el caso de prótesis híbridas confeccionadas mediante CAD/CAM, es recomendable llevar a cabo primero una prueba en boca con la estructura de resina atornillada para comprobar el ajuste en la boca (Figura 20). Tras el escaneo se confecciona la estructura definitiva (Figura 21).




la prótesis híbrida





comprobación del ajuste.

Si durante la nueva prueba en boca con cera se confirma el primer montaje también con la estructura se puede realizar la prótesis en resina. En caso necesario, durante este proceso se puede caracterizar cromáticamente la encía. Tras las correcciones oclusales en el articulador se procede al pulido final de la prótesis (Figuras 22, 23 y 24).
Sobredentadura implantosoportada con barras
Los pasos preliminares son idénticos a los anteriormente descritos, incluida la confección de las llaves de silicona.
Sin embargo, en la confección mediante la tecnología CAD/CAM debe tenerse en cuenta el montaje de los dientes VITA MFT durante el escaneo y el diseño de la estructura (Figura 25).
El ajuste de la estructura terciaria con barras se comprueba en la boca del paciente (Figuras 26 y 27).
En el siguiente paso se procede al vaciado de la estructura de refuerzo, y se lleva a cabo una nueva prueba en boca con cera, con dientes, elementos de retención, anclajes, conectores de barra, etc., que se fijan a la estructura mediante resina.
Finalmente se caracterizan cromáticamente las encías modeladas en resina y se realizan correcciones oclusales (Figuras 28 y 29).
Prótesis completa mucosoportada
En la prótesis completa mucosoportada, el montaje de los dientes VITA MFT se lleva a cabo de forma clásica. Ya para la prueba en boca con cera se modelan de forma natural las encías (Figuras 30 y 31). De este modo, el paciente puede formarse ya en esta fase una idea muy clara del aspecto natural que tendrán sus dientes en la boca posteriormente.

y pulido final.


de las encías en cera.

Para la realización en resina se ha acreditado especialmente el método de vaciado: garantiza que las encías modeladas con fidelidad al detalle prácticamente ya no deben retocarse y simplemente deben pulirse. De este modo, resulta posible configurar muy limpiamente en especial los espacios interdentales, sin necesidad alguna de desbastado. Los dientes VITA MFT son idóneos para este método, puesto que salen de la cubeta sin merma alguna de su naturalidad anatómica auténtica (Figuras 32, 33, 34 y 35).




Conclusión
La línea de dientes VITA MFT combina unas propiedades funcionales perfectas con una estética convincente. La estética auténtica de los dientes anteriores enfatiza el aspecto natural de los pacientes y acelera la aceptación de la restauración.
El diseño oclusal de las superficies masticatorias de los dientes posteriores se basa en el innovador principio «Easy Centric», esto es, el diseño de las superficies se traduce casi automáticamente en una céntrica perfecta y facilita así el montaje de los dientes posteriores.
Los dientes VITA MFT están indicados para todos los conceptos de montaje y métodos de confección, en particular para el método de vaciado de resina. Ofrecen un grado máximo de compatibilidad con los tejidos y garantizan la longevidad de las restauraciones.
