La rehabilitación implantosoportada en el sector estético anterior del maxilar representa uno de los mayores desafíos en la Implantología oral. Cuando se trata de reponer varias piezas dentales contiguas, las exigencias estéticas, funcionales y biológicas se multiplican. A diferencia de la colocación de un solo implante, donde el control sobre la emergencia protésica y los tejidos periimplantarios es más predecible, los casos de múltiples unidades requieren un abordaje quirúrgico y restaurador más complejo.
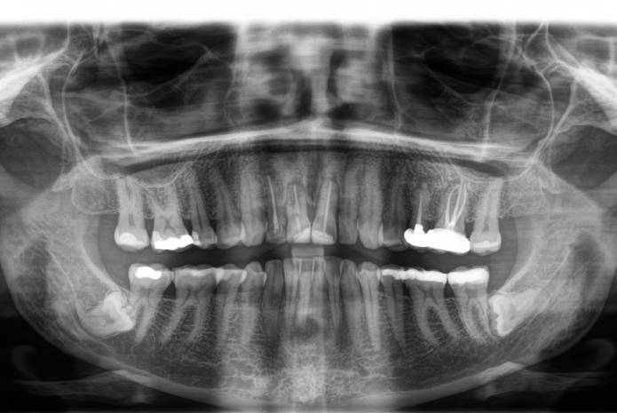
Presentamos el caso clínico de una paciente de 51 años sin antecedentes médicos de interés que acudió por movilidad en los dientes 12, 11 y 21 deseando mejorar su estética dental. La necesidad de extraer más de un diente en el sector estético confirió a este caso un nivel alto de complejidad. Tras 7 años de seguimiento comprobamos un alto índice de estabilidad en el tratamiento realizado.


