Contenido
ToggleImplante de plataforma estrecha en el manejo de un caso interdisciplinar
Introducción
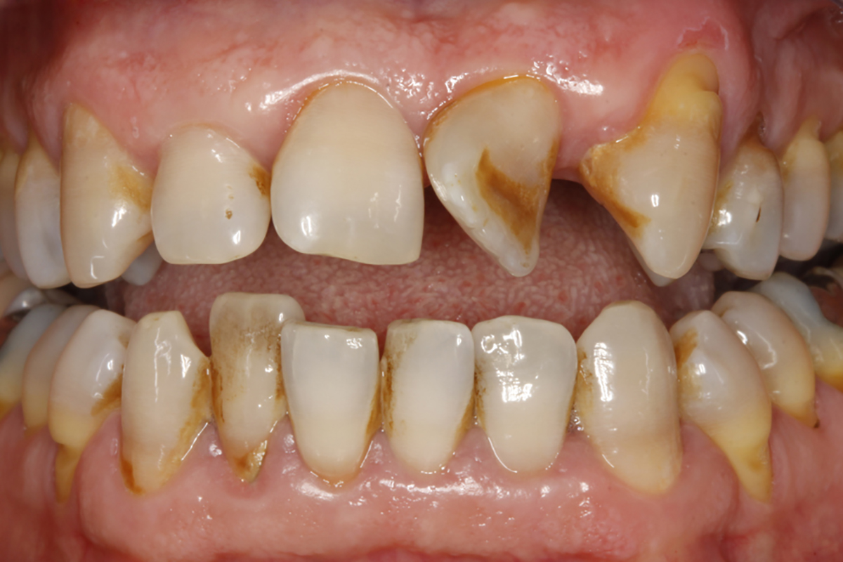
La agenesia de una pieza dental aislada es un hecho común en muchos de los pacientes que demandan un tratamiento ortodóncico, estético, prótésico o una mezcla de todos ellos, llegando a representar un 7,8% de los casos (1). Aproximadamente la mitad de estos casos que acuden para reponer un diente agenésico son incisivos laterales superiores (3,6%) (1), por lo que la demanda de restauración de estos dientes dentro de un tratamiento combinado con la Ortodoncia es un hecho frecuente en la clínica odontológica.
La falta de un incisivo lateral superior es, además, un reto estético importante, ya que ocupa una posición dominante en la sonrisa del paciente y, cuando se encuentra ausente, los incisivos centrales y los caninos adyacentes al problema suelen sufrir malposiciones, rotaciones o problemas derivados del espacio resultante de la ausencia del incisivo lateral (2, 3).
Los distintos enfoques para el abordaje de la agenesia de un incisivo lateral superior pasan por diferentes técnicas, siendo generalmente una combinación de varias de ellas (enfoque multidisciplinar) la solución habitual. Entre las formas de abordaje, podemos diferenciar: Ortodoncia, camuflaje protésico y realización de implantes dentales (3-5). La decisión entre una alternativa terapéutica y otra dependerá, en gran medida, del requerimiento estético del paciente, de los problemas oclusales derivados de la agenesia y las malposiciones que se desencadenan a su alrededor, del coste del tratamiento (factor económico a valorar por el paciente) y de las expectativas estéticas que tenga el paciente y el profesional (3-5).
Cuando la opción de tratamiento elegida es la reposición de la pieza ausente, la inserción de un implante dental suele ser una de las técnicas más demandadas, debido a que es el abordaje más conservador para las piezas dentales adyacentes (6, 7).


