Contenido
ToggleCaso clínico con seguimiento a siete años Artículo premiado en el Certamen Jóvenes Odontopediatras
Resumen
El ameloblastoma es un tumor benigno pero de agresividad local. El subtipo uniquístico se caracteriza por su menor agresividad y por su mejor respuesta a un tratamiento de tipo conservador. Se describe el caso clínico de una paciente en edad pediátrica con el objetivo de ilustrar acerca de las opciones terapéuticas menos invasivas de los tumores benignos en el área maxilofacial.
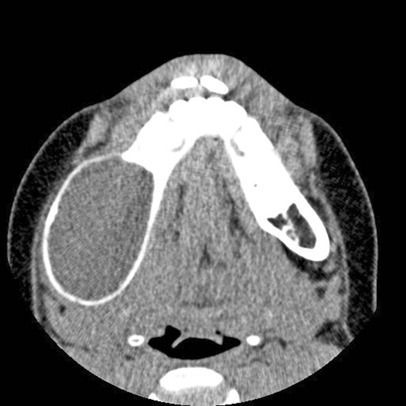
El caso clínico que presentamos es el de una paciente de 10 años derivada al Hospital Universitario La Paz por una lesión radiolúcida en el ángulo mandibular con abombamiento de las corticales. La biopsia confirma un diagnóstico de quiste odontogénico, que es extirpado, a la vez que se fija la fractura patológica asociada diagnosticada intraoperatoriamente. A los 15 meses, se observa una lesión radiolúcida, que se trata de forma conservadora, evitando la pérdida de los premolares adyacentes. Tras la extirpación, se obtuvo un diagnóstico histológico de ameloblastoma. En el seguimiento, no se observan recidivas y se aprecia correcta erupción de los premolares conservados.


